Difference Between Acute Subdural Hematoma and Chronic
An acute subdural hematoma is when blood quickly accumulates under the dura mater. A chronic subdural hematoma is when the blood accumulation happens in the same place, but slowly.

What is Acute subdural hematoma?
Definition:
An acute subdural hematoma is a dangerous condition where blood rapidly pools under the dura mater.
Causes:
The cause of asubdural hematoma is a head injury that is due to a hard blow to the head. It can happen from some type of accident, causing vessels to rupture resulting in bleeding between the membranes surrounding the brain.
Symptoms and complications:
The symptoms happen soon after the injury and include dizziness, vomiting, loss of consciousness, and sudden severe headache along with mental confusion. Complications include a herniation of the brain and death.
Risk factors:
Any person who has a head injury is at risk for an acute subdural hematoma, including athletes.
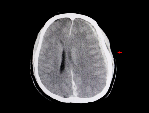
Diagnosis:
A CT scan and MRI will show that there is a hematoma in the brain.
Treatment:
Surgery is often required for an acute subdural hematoma since it places pressure on the brain. Surgical intervention may be done using burr holes or a craniotomy.

What is Chronic Subdural Hematoma?
Definition:
A chronic subdural hematoma is when blood accumulates slowly over time between the arachnoid and dura mater.
Causes and prevalence:
There are a couple of causes of a chronic subdural hematoma. A blow to the head, taking anticoagulants, NSAIDs, and heavy drinking of alcohol can cause this condition. The chronic subdural hematoma occurs most often in people older than 60 who have more fragile vessels and whose brain tissue may have shrunk somewhat.
Symptoms and complications:
Mental confusion, dizziness, and headache are all signs that could mean a person has a chronic subdural hematoma.
Risk factors:
While anybody is at risk of a hematoma, those at higher risk of a chronic subdural hematoma include the elderly, people taking anticoagulants and NSAIDs, and those who have hit their head.
Diagnosis:
A chronic subdural hematoma can be diagnosed using the same imaging tests as for an acute subdural hematoma, namely a CT scan and MRI. Using contrast with the CT scan is sometimes needed for diagnosing slow bleeds in the brain.
Treatment:
Surgery is often needed to treat a chronic subdural hematoma. The blood needs to be removed from the subdural space.
Difference between Acute subdural hematoma and Chronic?
Definition
An acute subdural hematoma is when blood very quickly collects under the dura mater. A chronic subdural hematoma is when there is a slow collection of blood under the dura mater.
Time of onset
Acute subdural hematomas begin fast, within minutes to 3 days of an injury. Chronic subdural hematomas take time to develop and it can be many days or weeks before signs appear.
Cause
The cause of an acute subdural hematoma is a severe hit to the head. The causes of a chronic subdural hematoma include a hit to the head but also the use of NSAIDs or anticoagulants.
Symptoms
In the case of a subdural hematoma, the symptoms occur very suddenly and are severe. In the case of a chronic subdural hematoma, symptoms begin gradually and may be mild.
Prevalence
An acute subdural hematoma can happen at any age. A chronic subdural hematoma is much more common in people older than 60.
Risk factors
The risk factors for an acute subdural hematoma include being in an accident and being an athlete. The risk factors for a chronic subdural hematoma include heavy drinking, use of anticoagulants, NSAIDs and having a head injury.
Mortality rate
The mortality rate for an acute subdural hematoma is between 50% and 90%. The mortality rate for a chronic subdural hematoma is about 32%.
Table comparing Acute subdural hematoma and Chronic

Summary of Acute subdural hematoma Vs. Chronic
- Acute and chronic subdural hematomas both refer to bleeding under the dura mater.
- An acute subdural hematoma is more deadly than a chronic subdural hematoma.
- People with a head injury can develop either type of subdural hematoma.
FAQ
What is an acute or chronic subdural hematoma?
This is when there is when there is a blood collection under the dura mater of the brain.
When does a subdural hematoma become chronic?
This is when blood that leaks out and collects under the dura mater, takes time to develop and symptoms may be quite mild.
How do you tell the difference between SDH and EDH?
An EDH is an extradural hemorrhage that occurs above the dura mater, while an SDH is a subdural hemorrhage that occurs below the dura mater.
What are the types of subdural hematomas?
There are three types of subdural hematomas: acute, subacute, and chronic.
How are subdural hematomas classified?
The subdural hematomas are classified based on how quickly they form.
What are the 4 types of brain bleed?
The four types of brain bleed are: subarachnoid hemorrhage, subdural hemorrhage, epidural hemorrhage, and intraparenchymal hemorrhage.
- Difference Between Rumination and Regurgitation - June 13, 2024
- Difference Between Pyelectasis and Hydronephrosis - June 4, 2024
- Difference Between Cellulitis and Erysipelas - June 1, 2024
Search DifferenceBetween.net :
Leave a Response
References :
[0]Cleveland Clinic. “Subdural hematoma”. Cleveland Clinic, 2022, https://my.clevelandclinic.org/health/diseases/21183-subdural-hematoma
[1]Koc, R. Kemal, et al. "Acute subdural hematoma: outcome and outcome prediction." Neurosurgical review 20.4 (1997): 239-244.
[2]Yadav, Yad, et al. "Chronic subdural hematoma." Asian journal of neurosurgery 11.04 (2016): 330-342.
